Korel Dentistry Implant & Cosmetic Dentist

Smile Gallery

Hassle-Free Care.

We help you find a plan that works for you — because a healthy smile shouldn’t have to wait.

Flexible Options.

We make it easy to get the care you need. With multiple payment and insurance options available.

Ready to Start Your Own Smile Story?

Have questions about our treatments or want to learn how we can help you achieve your ideal smile? Get in touch today to schedule your visit or consultation. We’re here to guide you every step of the way with honest advice, gentle care, and life-changing results.
before after smile makeover El Cajon CA
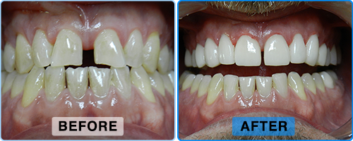
See the Smiles We’ve Transformed in El Cajon

Real Results. Real Confidence.

Take a look at some of the amazing smile transformations we’ve achieved for our patients. Explore our before-and-after photos and discover what’s possible when expert care meets personalized attention.

Affordable Dental Care That Puts You First

We proudly work with most major insurance providers and handle claim submissions for you. Our goal is to make high-quality dental care accessible and affordable — so you can focus on your health, not paperwork.

SG 1
before after tooth makeover El Cajon CA

Emergency or Routine visits

From same-day emergency visits to scheduled checkups, our friendly team is always ready to help. We offer fast, effective treatments for pain, injuries, and urgent dental concerns throughout El Cajon and nearby communities.

SG 4
SG 5
Why we are the best dental clinic

Why Patients Choose Korel Dentistry

We understand that visiting the dentist can feel overwhelming. That’s why we make your experience clear, calm, and comfortable — every time. From transparent pricing to advanced diagnostics, we put your comfort and confidence first.

Experienced Care

30+ years serving local families with integrity and consistency.

State-of-the-Art Technology

3D imaging, digital impressions, and gentle laser treatment for better, faster results.

Personalized Service

We listen, we care, and we take our time — every patient, every visit.

Still thinking about getting started?

We get it — choosing a dental office is a big decision. Whether you have questions, concerns, or just want to talk things through, we’re here to help. No pressure, just honest answers and guidance to help you take the next step with confidence.